

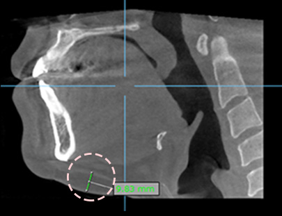
通过3D-CT 肉眼可见的脂肪量
LSSA超声波仪器精细的吸取脂肪

只有本人知道的V线条

脖子和下巴无分界线

BEFORE

AFTER 3个月

BEFORE

AFTER 3个月

BEFORE

AFTER 3个月
3D-CT拍摄后
进行面诊
准确的分析
脂肪分布
通过超声波振动
只有脂肪细胞
被细腻温柔的
吸取
注射器大小的针管
无需切开
疤痕担心少
面部专用
使用手柄
高频率
几乎没有
神经损伤以及
凹凸不平的副作用
术后
肉眼可见
线条的变化

vs

浮肿,淤青等需要
2周左右的恢复时间
细微浮肿可实现
较快的日常生活
凹凸不平的线条
牢牢抓住的结块脂肪
生物粘合剂较少
线条相对变的光滑
脂肪,周边组织
有损伤的危险
选择性的进行吸脂
几乎不会对周围造成损伤
周边损伤小,细腻的吸取脂肪
减少手术后的恢复时间
术后清晰可见的V脸线条

· 使用注射器大小的超声波探头型针管无需切开
细腻的吸取脂肪的技术
· 几乎无周边损伤乳化脂肪相对性简单的线条变化
· 使用非常小直径只有0.9mmd的探头精确的去脂面部脂肪
· 相对性较少的出血,浮肿,淤青,痛症
· 20分钟左右较短的施术时间
· 考虑脂肪量,肌肉位置,皮肤弹性来矫正线条


无需切开并通过针眼
溶解脂肪后吸取减少对疤痕的担心

爱她吸脂拥有多种诀窍并以高技术力
去除双下巴肌肉内侧脂肪
使吸脂效果更加明显且可持久保持


去除肌肉内脂肪
更加明显的V线条
通过细微超声波
痛症,淤青,浮肿
相对性较少
吸脂后
不会出现
过度的弹力下降
无需手术
相对性较快且简单
解决小脸问题


爱她认识到每时每刻可能会发生的最坏情况。
就算是小手术也不会松懈。
通过多样的检查安全系统,
以及有规则的手术系统来集中注意手术中的安全。
并不是手术做的越多,满意度就越高。
在爱她只向顾客推荐适合自己的手术方案,
从不过度治疗,并且不推荐没有效果的手术。
术前通过详细的商谈,从手术计划到复查管理,
主刀医生都会负责任的进行
绝对不会存在影子医生。
关于手术结果每个患者都可能会出现些许差异。
爱她提供适合患者个人状态的集中管理治疗,
使术后效果更加好。
爱她3D-CT 面部吸脂
爱她3D-CT 面部吸脂是拒绝用触感来判断的手术。 通过3D-CT拍摄后 确认是否需要抽取肌肉内侧脂肪 精致雕塑! 通过细小针管,几乎没有痛症,淤青,浮肿!通过强效超声波吸脂后维持弹力!无需手术即可快速恢复的,简单解决面部小的苦恼。韩国面吸,韩国面部脂肪吸脂,面吸,面部吸脂,瘦脸,小V脸,韩国爱她整形外科,韩国爱她整形,韩国atop整形外科,韩国atop 愛她3D-CT 麵部吸脂是拒絶用觸感來判斷的手術。 通過3D-CT拍攝後 確認是否需要抽取肌肉內側脂肪 精緻雕塑! 通過細小針管,幾乎沒有痛症,淤青,浮腫!通過強效超聲波吸脂後維持彈力!無需手術即可快速恢複的,簡單解決麵部小的苦惱。韓國麵吸,韓國麵部脂肪吸脂,麵吸,麵部吸脂,瘦臉,小V臉,韓國愛她整形外科,韓國愛她整形,韓國atop整形外科,韓國atop
시각장애인을 위한 텍스트 정보 영역입니다.